人生最高の1日を、一番美しい笑顔で。

挙式や前撮りの前でも安心して受けられる、
痛みのないホワイトニング。
無理せず、自然に透き通るような白さへ。
前撮り・挙式前に気になる『歯の白さ』

髪や肌、ネイルを整えるように、
花嫁さまの多くが「歯の白さ」にも気を配っています。
写真では思った以上に口元が印象を左右するもの。
ドレスの白さと比較されるからこそ、自然な透明感が大切です。
「直前でも間に合う?」『痛くない方法はある?」
そんなお悩みに応えるために、
式や撮影前でも安心して受けられるブライダルホワイトニングプランを導入しました。
ウェディングドレスに映える白い歯へ
人生最高の1日を、心からの笑顔で迎えてほしい。
写真に残るその瞬間、輝く白い歯があるだけで、
笑顔はぐっと引き立ちます。
トランセントホワイトニングなら、薬剤を使わずに光の力で歯の内部の黄ばみを直接分解除去し、トーンアップを実感。
一度の施術でも、笑顔に自信が宿ります。
ご希望のスケジュールに合わせて、
前撮りや挙式までに最も美しく仕上がるプランをご提案いたします。

ブライダルホワイトニングに最適
トランセントホワイトニング とは
薬剤を使わず、医療用の超高出力青色LEDの光で歯の内側から透明感を引き出すホワイトニング。
歯を傷めずにトーンアップできるため、挙式や前撮り前の施術にも安心です。

- 薬剤不使用
-
過酸化水素、過酸化尿素などの酸化漂白剤を使わず、光の力で歯の外側・内側の着色を分解
- 知覚過敏や痛みが出にくい
-
刺激が少なく、直前の施術でも安心
- 即効性
-
1回の施術でも効果を実感。平均5段階のトーンアップが可能。
※効果には個人差あり - 食事制限なし
-
歯の表面を傷つけないので、施術直後から色の濃い飲食物でも飲食OK
- 妊娠・授乳中もOK
-
薬剤を使わないため、体への負担がありません。
当院が導入するのは、
最新機種『トランセントセキュア』
初めてのホワイトニングで不安な方でも、安心して施術を受けていただけるように、
当院では、2025年11月より最新機種『トランセントセキュア』にアップグレードいたしました。
従来機に比べて、照射パワーと照射効率、冷却機能が向上。施術中の不快感が減り、より少ない回数で極上の白さへと導けるようになりました。
また、患者さんご自身で光照射を停止できるリモコンも登場。施術中は熱さや痛みなどを我慢することなく施術を受けていただけます。
人生最高の1日へ。
理想の白さへのホワイトニングプラン
挙式や前撮りまでの期間、歯の黄ばみの程度に合わせて、最も自然で輝く白さを叶えるプランをご提案。自宅での簡単なホームケアも併せて白さを長くキープできます。



該当する方をタップすると、最適スケジュールが確認できます▼

- *回数
-
1〜2回
- *タイミング
-
直前〜1ヶ月前
- *ホームケア
-
普段の歯磨き粉をブラッシングホームホワイトニングジェル(EXクリーナー)にチェンジ

黄ばみの程度や、挙式・前撮りまでの期間によって、必要な回数やケア内容は1人ひとり異なります。
当院では、カウンセリングで状態を確認しならがら、ご希望の仕上がりやスケジュールに合わせた最適なプランをご提案しています。
まずはお気軽にご相談ください。
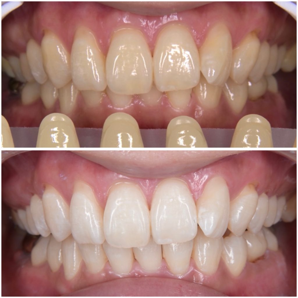
ブライダルプラン症例

※現在のスタンダードプラン100,000円に
相当するプランの効果です。
- 通院回数 2回(期間3週間)
-
初回:照射時間15分
(トランセントフラッシュ10分+ボーダーレス5分)2回目:照射時間15分
(トランセントフラッシュ10分+ボーダーレス5分) - ホームケア EXクリーナーにてブラッシングケア
- 施術費用 合計132,000円(税込)※2023年当時の価格



